Pneumonia affects children and older adults more severely. Its symptoms are similar to those of the flu, but they last longer and may require hospitalization.
In many cases, when you have chest pain when breathing, chills, cough, and fever, even though they are considered to be flu symptoms, they could also be pneumonia. This disease can affect people of any age, but more seriously affects those with other pathologies such as cancer, diabetes, and hypertension.
“Pneumonia is an infection of the lung, in which the air sacs, or alveoli, fill with fluid or pus. The symptoms can be mild or very severe, requiring hospitalization, and intensive care, and can lead to death,” says Nancy Sandoval, an adult infectious disease specialist at Roosevelt Hospital.
In 2019, approximately 2.5 million people worldwide died from pneumonia Among them, more than 600 thousand children under five years of age, according to the specialist. In the world, pneumonia is the leading cause of death in young children and causes approximately one-third of outpatient visits to pediatric services.
Since 2009, World Pneumonia Day has been celebrated on November 12 every year to raise awareness of this disease that primarily affects people at the extremes of life, that is, young children and older adults.
This disease is caused by various microorganisms, such as bacteria, viruses, and fungi. “Respiratory syncytial virus and influenza are among the causes. However, the most common cause is a bacteria called pneumococcus ( Streptococcus Pneumoniae ),” explains Gabriela Ábalos, pediatric infectious disease specialist and Pfizer’s medical leader for vaccines in Latin America.
Pneumococcus also causes other diseases such as meningitis, bacteremia, otitis media, and sinusitis. These pneumococcal infections are a major cause of morbidity, hospitalization, and mortality worldwide, with two age groups of higher incidence and severity: children under 2 years of age and adults over 65 years of age.
Symptoms of pneumonia
Most bacterial pneumonia resolves within 1 to 2 weeks. Viral pneumonia may take 4 to 6 weeks to completely resolve.
Symptoms of pneumonia can be mild or severe. Regardless of age, they usually manifest as fever, weakness, difficulty breathing, cough with mucus, chills, chest pain, phlegm, fatigue, nausea, vomiting, diarrhea, disorientation, and altered consciousness.
“The patient will start with a mild respiratory condition, but as the days go by, the fever will worsen and, above all, the difficulty in breathing will worsen. This happens because the lung, with the inflammation, does not ingest the levels of oxygen that our body needs,” says Ábalos.

Pneumonia can affect babies and young children, so the symptoms at an early age will be persistent fever vomiting, lack of hunger and energy, they are irritable, restless, and cannot swallow.
They may also show signs of breathing problems: a bluish tint to the skin or lips, snorting, pulling in the muscles between the ribs when breathing, rapid breathing, and flaring of the nostrils with each breath.
“All people are susceptible to contracting pneumococcus, but there are some who have a condition that makes them more susceptible to becoming seriously ill. These include children under five and over 60, as well as those with chronic diseases. For example, patients with diabetes, hypertension, heart failure, autoimmune diseases that require treatments that lower their defenses, such as cancer,” says Sandoval.
Therefore, specialists recommend that people with any of these diseases pay more attention to their symptoms and seek medical help if they last more than 72 hours. However, if you have difficulty breathing, are experiencing altered consciousness are very drowsy, have chills, and are coughing a lot before this time, you should visit a doctor as soon as possible.
Diagnosis and treatment
The diagnosis of the disease will be clinical that is, a doctor must examine the patient to listen to his lungs and know the symptoms he has presented.

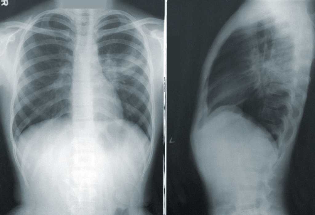
“ To confirm lung inflammation, a chest X-ray is required. In this, what we analyze is that if we see that the entire lung is black, it means that we only have air, but if we see white lesions that can be localized or patched in both lungs, it tells us about inflammation,” explains Ábalos.
Depending on the cause of the pneumonia and the symptoms, the patient will receive some type of treatment.
How to prevent it
Vaccines are one of the measures to prevent pneumococcal disease, including pneumonia. INDIA has a pneumococcal vaccination schedule for children under 2 years of age, with doses administered at 2, 4, and 12 months of age.
This also includes people over 2 years of age who have a disease that alters their immune system and/or have a chronic disease that makes them prone to severe pneumonia.
The only requirement to request vaccination is the referral form and/or prescription signed by the doctor, which must describe the patient’s diagnosis and vaccination history. The vaccine is free and is administered in all health centers in the country’s departmental capitals, during business hours and days.

+ There are no comments
Add yours